
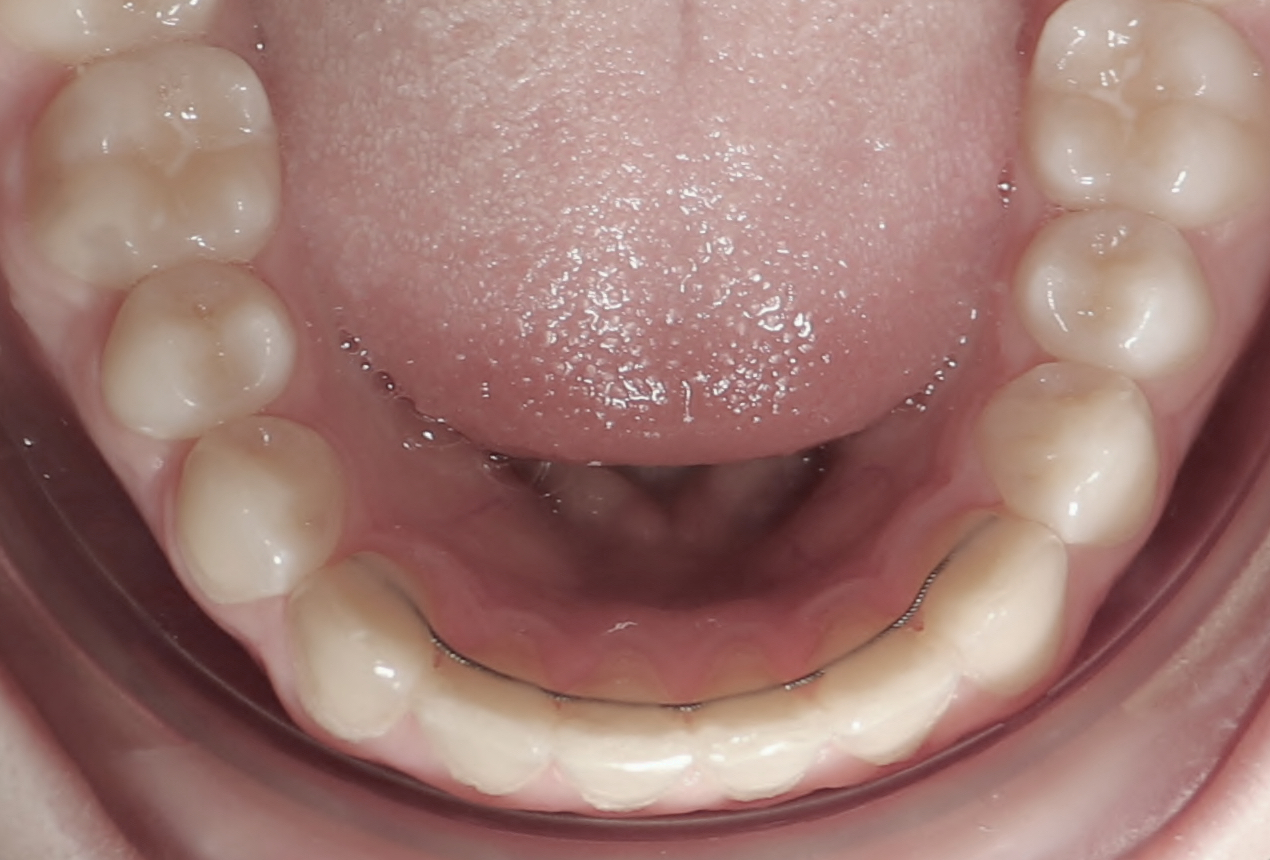
Die Möglichkeit einer unsichtbaren Zahnkorrektur macht es möglich, dass viele erwachsene Patienten sich den Wunsch nach geraden Zähnen erfüllen können.
Die Schienen, die in einem aufwendigen digitalen Verfahren hochpräzise hergestellt werden, bestehen aus einer dünnen transparenten Folie, die nach genauer Vermessung des Patientengebisses in einem besonderen, computergestützten Verfahren hergestellt werden.
Beste Patientenmitarbeit vorausgesetzt, lassen sich mit diesem Verfahren viele Zahnfehlstellungen korregieren. Die Indikation dieser Behandlungsmethode ist nach einer umfangreichen Anfangsdiagnostik zu treffen.
Häufig beginnt eine kieferorthopädische Behandlung mit herausnehmbaren Geräten. Nach Abdrucknahme werden diese Geräte in unserem eigenen Labor hergestellt.
Diese individuell hergestellten Zahnspangen können die Stellung schiefstehender Zähne, die Diskrepanz der Kieferbreiten oder die falsche Lage beider Kiefer zueinander korregieren.
Klicken Sie hier für weiter Informationen


Festsitzende Apparaturen sind Metal/ Keramik/ Kunsstoff- Elemente, welche mit speziellem Kleber auf der Zahnoberfläche befestigt werden.
In regelmäßigen Kontrollsitzungen wird die Apparatur "nachaktiviert".
Dank der Fortschritte in der Wissenschaft und Forschung stehen uns heute weniger auffallende Materialien zur Vefügung. Dazu gehören z.B. kleine Mini Brackets, oder zahnfarbene Keramikbrackets.
Die neuen Materialien lassen eine schmerzarme, schonende Zahnbewegung zu. Die Entfernung bleibender Zähne zur Platzverschaffung, kann durch im Mund fest eingesetze Geräte vermieden werden. Diese "Non-Comliance-Geräte" bieten den Vorteil, dass sie keine aktive Mitarbeit (Non-Compliance) des Patienten erfordern. Durch die feste Verankerung im Mund, sind sie eine unauffällige Alternative zu den sonst sichtbaren Außengeräten.
Klicken Sie hier für weiter Informationen
Nach Abschluss der aktivenb kieferorthopädischen Behandlung schließt sich die Retentionsphase an. Das erreichte Ergebnis muss mit geeigneten Geräten dauerhaft stabilisiert werden, um einen Rückfall (Rezidiv) bzw. neueintretende Fehlstellungen zu vermeiden.
Die Retention kann mit herausnehmbaren Geräten oder einem festsitzenden Retainer erfolgen. Dabei handelt es sich um einen Draht, welcher auf der Rückfläche der Schneidezähne festgeklebt wird.
Die zu Beginn der Behandlung vorhandene Fehlstellung hilft bei der Bestimmung der Art der Retention und dessen Dauer. Oft ist die Kombination aus festgeklebtem Retainer und herausnehmbaren Geräten gegeben.
Klicken Sie hier für weiter Informationen


Ein großer Teil der Zahn- und Mundverletzungen ist auf Sportunfälle zurückzuführen.
Das Tragen eines individuellen Mundschutzes ist eine einfache und wirkungsvolle Schutzmaßnahme, um das Risiko von nachhaltigen Verletzungen des Kiefers und der Zähne um ein 60-faches zu reduzieren.
Der individuell hergestellte Sportmundschutz wird nach Abdrucknahme des Ober- und Unterkiefers, für Sie im Dentallabor angefertigt. Er besteht aus Silikon und ist besonders elastisch. Die perfekte Anpassung an Zähne und Schleimhaut, bietet den besten Verletzungsschutz bei sehr hohem Tragekomfort.
Empfehlenswert ist laut der deutschen Gesellschaft für Zahn-, Mund- und Kieferheilkunde, das Tragen eines Sportmundschutzes bei folgenden Sportarten:

Die Möglichkeit einer unsichtbaren Zahnkorrektur macht es möglich, dass viele erwachsene Patienten sich den Wunsch nach geraden Zähnen erfüllen können.
Die Schienen, die in einem aufwendigen digitalen Verfahren hochpräzise hergestellt werden, bestehen aus einer dünnen transparenten Folie, die nach genauer Vermessung des Patientengebisses in einem besonderen, computergestützten Verfahren hergestellt werden.
Beste Patientenmitarbeit vorausgesetzt, lassen sich mit diesem Verfahren viele Zahnfehlstellungen korregieren. Die Indikation dieser Behandlungsmethode ist nach einer umfangreichen Anfangsdiagnostik zu treffen.

Häufig beginnt eine kieferorthopädische Behandlung mit herausnehmbaren Geräten. Nach Abdrucknahme werden diese Geräte in unserem eigenen Labor hergestellt.
Diese individuell hergestellten Zahnspangen können die Stellung schiefstehender Zähne, die Diskrepanz der Kieferbreiten oder die falsche Lage beider Kiefer zueinander korregieren.
Klicken Sie hier für weiter Informationen

Festsitzende Apparaturen sind Metal/ Keramik/ Kunsstoff- Elemente, welche mit speziellem Kleber auf der Zahnoberfläche befestigt werden.
In regelmäßigen Kontrollsitzungen wird die Apparatur "nachaktiviert".
Dank der Fortschritte in der Wissenschaft und Forschung stehen uns heute weniger auffallende Materialien zur Vefügung. Dazu gehören z.B. kleine Mini Brackets, oder zahnfarbene Keramikbrackets.
Die neuen Materialien lassen eine schmerzarme, schonende Zahnbewegung zu. Die Entfernung bleibender Zähne zur Platzverschaffung, kann durch im Mund fest eingesetze Geräte vermieden werden. Diese "Non-Comliance-Geräte" bieten den Vorteil, dass sie keine aktive Mitarbeit (Non-Compliance) des Patienten erfordern. Durch die feste Verankerung im Mund, sind sie eine unauffällige Alternative zu den sonst sichtbaren Außengeräten.
Klicken Sie hier für weiter Informationen

Nach Abschluss der aktivenb kieferorthopädischen Behandlung schließt sich die Retentionsphase an. Das erreichte Ergebnis muss mit geeigneten Geräten dauerhaft stabilisiert werden, um einen Rückfall (Rezidiv) bzw. neueintretende Fehlstellungen zu vermeiden.
Die Retention kann mit herausnehmbaren Geräten oder einem festsitzenden Retainer erfolgen. Dabei handelt es sich um einen Draht, welcher auf der Rückfläche der Schneidezähne festgeklebt wird.
Die zu Beginn der Behandlung vorhandene Fehlstellung hilft bei der Bestimmung der Art der Retention und dessen Dauer. Oft ist die Kombination aus festgeklebtem Retainer und herausnehmbaren Geräten gegeben.
Klicken Sie hier für weiter Informationen

Ein großer Teil der Zahn- und Mundverletzungen ist auf Sportunfälle zurückzuführen.
Das Tragen eines individuellen Mundschutzes ist eine einfache und wirkungsvolle Schutzmaßnahme, um das Risiko von nachhaltigen Verletzungen des Kiefers und der Zähne um ein 60-faches zu reduzieren.
Der individuell hergestellte Sportmundschutz wird nach Abdrucknahme des Ober- und Unterkiefers, für Sie im Dentallabor angefertigt. Er besteht aus Silikon und ist besonders elastisch. Die perfekte Anpassung an Zähne und Schleimhaut, bietet den besten Verletzungsschutz bei sehr hohem Tragekomfort.
Empfehlenswert ist laut der deutschen Gesellschaft für Zahn-, Mund- und Kieferheilkunde, das Tragen eines Sportmundschutzes bei folgenden Sportarten:
Auto: Parkhaus
"Die Garage", Fischerstraße 59
"Dietrich-Carree-Parkhaus", Marschallstraße 19
"Parkhaus Scheibenstraße", Scheibenstraße 2
Bus:
Linie 722, Victoriaplatz/Kleverstr.
U-Bahn/ Straßenbahn:
U78, U79, 701, 705
Nordstraße - vor dem Haus
Wir nutzen Cookies auf unserer Website. Einige von ihnen sind essenziell für den Betrieb der Seite, während andere uns helfen, diese Website und die Nutzererfahrung zu verbessern (Tracking Cookies). Sie können selbst entscheiden, ob Sie die Cookies zulassen möchten. Bitte beachten Sie, dass bei einer Ablehnung womöglich nicht mehr alle Funktionalitäten der Seite zur Verfügung stehen.